New! Sign up for our free email newsletter.
Science News
from research organizations

A “death” protein may be the key to slowing aging at its source

A “death” protein is secretly aging your blood stem cells—and stopping it could help keep your immune system young.

Date:
April 16, 2026
Source:
The Institute of Medical Science, The University of Tokyo
Summary:
Scientists have discovered that a protein linked to cell death is secretly driving the aging of blood stem cells in a completely different way. Instead of killing the cells, it damages their mitochondria, sapping their energy and weakening the immune system over time. When this protein was turned off, stem cells remained stronger and more balanced, even under stress. The findings point to a new strategy for slowing aging at its source.
Share:
FULL STORY

As people get older, their blood and immune systems gradually lose strength. A major reason is the decline of hematopoietic stem cells (HSCs), which are responsible for producing all types of blood cells. Under healthy conditions, these stem cells can renew themselves and create a balanced mix of blood cells. Over time, however, they become less efficient. They generate fewer new cells, begin to favor certain types such as myeloid cells over lymphoid cells, and are less capable of supporting a strong immune response.

Several factors appear to drive this decline, including accumulated cellular damage, changes in gene activity, chronic low-level inflammation, and shifts in the bone marrow environment. Even so, scientists have not fully understood how these different stresses combine to impair HSC function.

Investigating a Key Aging Pathway

To better understand this process, researchers from The University of Tokyo, Japan, and St. Jude Children's Research Hospital, USA, explored how age-related stress affects HSCs. They focused on the receptor-interacting protein kinase 3 (RIPK3)-mixed lineage kinase like (MLKL) signaling axis, which is typically associated with necroptosis, a form of programmed cell death.

The study was led by Dr. Masayuki Yamashita, an Assistant Member at St. Jude Children's Research Hospital, who, at the time of the investigation, was an Assistant Professor at The Institute of Medical Science, The University of Tokyo. Co-authors included Dr. Atsushi Iwama from The Institute of Medical Science, The University of Tokyo, and Dr. Yuta Yamada from St. Jude Children's Research Hospital, who was a graduate student at The Institute of Medical Science, The University of Tokyo.

A Surprising Discovery About MLKL

The research began with an unexpected observation. Dr. Yamashita explains, "We discovered an unexpected phenotype in HSCs of MLKL-knockout mice repeatedly treated with 5-fluorouracil, where aging-associated functional changes were markedly attenuated despite no detectable difference in HSC death, prompting us to investigate whether this pathway might induce functional changes beyond cell death."

This finding suggested that MLKL might influence stem cell aging without actually killing the cells. That idea became central to the study, which was published in Volume 17 of Nature Communications on April 6, 2026.

How Scientists Tested the Mechanism

To explore this possibility, the researchers used several types of genetically engineered mice, including wild-type, MLKL-deficient, and RIPK3-deficient models. They also used specialized reporter mice designed to detect MLKL activation using a Förster resonance energy transfer-based biosensor.

The mice were exposed to different stress conditions that mimic aging, such as inflammation, replication stress, and oncogenic stress. To measure how well HSCs functioned, the team relied mainly on bone marrow transplantation, which tests the ability of stem cells to rebuild the blood system.

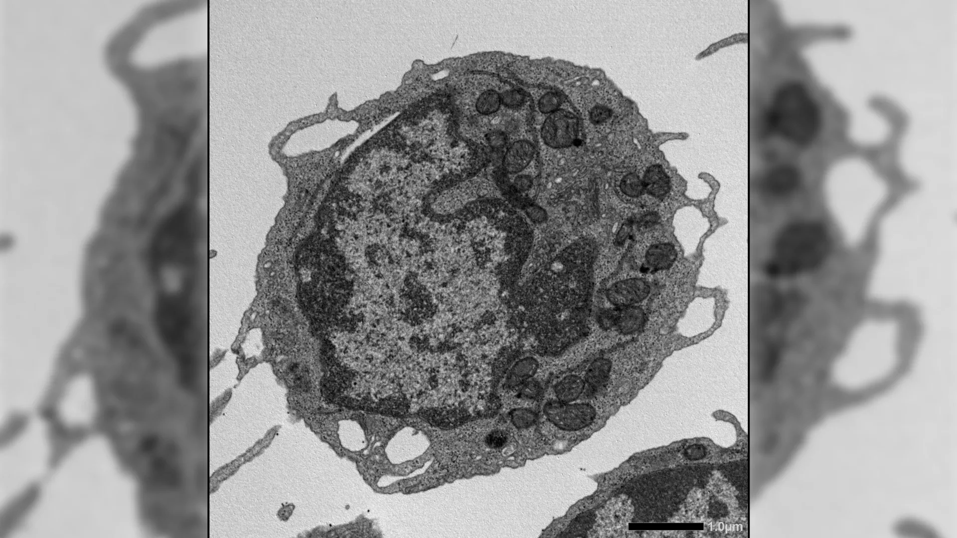
Additional techniques provided deeper insights, including flow cytometry, ex vivo expansion, RNA-seq, assay for transposase-accessible chromatin-seq, high-resolution imaging, metabolic testing, and detailed studies of mitochondria. Together, these approaches allowed the researchers to examine how MLKL affects HSCs at multiple levels.

Mitochondrial Damage Without Cell Death

The results revealed a previously unknown role for MLKL in stem cell aging. Although MLKL is usually linked to cell death, its activation in HSCs did not increase cell death or reduce cell numbers. Instead, it acted in a different way.

When activated under stress, MLKL briefly moved to the mitochondria, the structures that generate energy within cells. There, it caused damage by lowering membrane potential, altering mitochondrial structure, and reducing energy production. These effects led to key features of aging in HSCs, including reduced ability to renew themselves, decreased production of lymphoid cells, and a shift toward myeloid cell output.

Blocking MLKL Preserves Stem Cell Function

When MLKL was removed or inactivated, many of these problems were significantly reduced. HSCs lacking MLKL retained their ability to regenerate, produced healthier immune cells, showed less DNA damage, and maintained better mitochondrial function. These benefits were seen even in older animals or under stressful conditions.

Notably, these improvements occurred without major changes in gene expression or chromatin accessibility. This suggests that MLKL influences aging through processes that occur after gene activity, particularly at the level of cellular structures like mitochondria, rather than through changes in DNA regulation or inflammation.

Implications for Aging and Future Therapies

The findings point to a common pathway that connects various types of cellular stress to mitochondrial damage and stem cell aging. By identifying MLKL as a key link in this process, the study offers new insight into how aging affects the blood system.

Dr. Yamashita emphasizes, "In the longer term, this research could lead to therapies that preserve the function of hematopoietic stem cells, ultimately improving recovery and long-term health for patients undergoing chemotherapy, radiation, or transplantation. By revealing how non-lethal activation of cell-death pathways drives stem cell aging, these findings may inspire new classes of mitochondrial-protective or necroptosis-modulating drugs."

A New Understanding of Stem Cell Aging

Overall, the study reveals that MLKL plays an important role in stem cell aging without causing cell death. Instead, it responds to stress by damaging mitochondria and weakening HSC function over time. This discovery challenges traditional views of necroptosis-related proteins and opens new possibilities for slowing or preventing age-related decline in the blood and immune systems.


Story Source:

Materials provided by The Institute of Medical Science, The University of Tokyo. Note: Content may be edited for style and length.


Journal Reference:

  1. Yuta Yamada, Jinjing Yang, Akiho Saiki-Tsuchiya, Yuji Watanabe, Shuhei Koide, Shin Murai, Yuriko Sorimachi, Yu Fukuda, Kenta Sumiyama, Hiroshi Sagara, Hiroyasu Nakano, Keiyo Takubo, Atsushi Iwama, Masayuki Yamashita. Non-necroptotic MLKL function damages mitochondria and promotes hematopoietic stem cell aging. Nature Communications, 2026; 17 (1) DOI: 10.1038/s41467-026-71060-4

Cite This Page:

The Institute of Medical Science, The University of Tokyo. "A “death” protein may be the key to slowing aging at its source." ScienceDaily. ScienceDaily, 16 April 2026. <www.sciencedaily.com/releases/2026/04/260416071951.htm>.
The Institute of Medical Science, The University of Tokyo. (2026, April 16). A “death” protein may be the key to slowing aging at its source. ScienceDaily. Retrieved May 27, 2026 from www.sciencedaily.com/releases/2026/04/260416071951.htm
The Institute of Medical Science, The University of Tokyo. "A “death” protein may be the key to slowing aging at its source." ScienceDaily. www.sciencedaily.com/releases/2026/04/260416071951.htm (accessed May 27, 2026).

Explore More

from ScienceDaily

RELATED STORIES